HPL 1 Februari 2027
Ditulis oleh: Tim Bidan HPL.web.id | Diperbarui Jumat, 13 Maret 2026
Sesuai prediksi HPL 1 Februari 2027, kehamilan Anda bermula pada 27 April 2026. Berat badan janin akan meningkat drastis di akhir masa ini.
Perubahan hormon mungkin membuat ibu merasa lebih cepat lelah atau sesak. Cobalah posisi tidur miring ke kiri untuk sirkulasi darah yang lebih baik.
Informasi Minggu Ke-4
Perkembangan Janin 4 Minggu:
Posisi janin biasanya sudah menetap di panggul, siap untuk proses persalinan. Kuku jari tangan dan kakinya sudah tumbuh hingga mencapai ujung jari. Ia kini sering merespon sentuhan melalui dinding perut ibu.
Kondisi Perut Bumil Hamil 4 Minggu

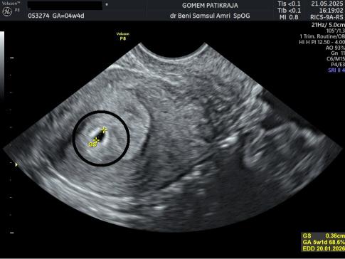
USG Janin 4 Minggu

Berapa Berat Badan Ideal Janin 4 Minggu?
Antara 2100 s/d 2300 gram adalah berat ideal janin saat ini. Penumpukan jaringan lemak akan memberikan energi cadangan bagi bayi saat baru lahir nanti.
Berapa Panjang Ideal Janin 4 Minggu?
Antara 44.5 cm sampai 46.5 cm adalah panjang janin yang normal di usia 4 minggu. Ukurannya kini sudah hampir mencapai panjang bayi saat lahir.
Nutrisi Yang Dibutuhkan Saat Hamil 4 Minggu
Zinc dan Selenium adalah mineral penting untuk mendukung sistem imun ibu dan perkembangan organ janin. Ibu bisa mendapatkannya dari biji labu, daging ayam, dan berbagai jenis sereal yang sudah diperkaya mineral.
Pantangan Bumil 4 Minggu
Jauhi paparan asap rokok dan lingkungan yang penuh polusi karena nikotin dan racun lainnya dapat menghambat suplai oksigen ke bayi melalui plasenta. Pastikan sirkulasi udara di rumah tetap baik.
Tips Untuk Ibu Hamil 4 Minggu
Pelajari tanda-tanda awal persalinan agar ibu tidak panik saat waktu itu tiba. Membaca buku tentang perawatan bayi baru lahir juga akan menambah rasa percaya diri ibu sebagai orang tua baru.
Jadwal USG
Diskusikan rencana persalinan (birth plan) dengan dokter Anda, apakah ingin melahirkan secara normal atau memerlukan tindakan medis tertentu. Komunikasi terbuka akan memberikan hasil yang terbaik.
Cek Kalender HPL Lengkap
Cek Hari Perkiraan Lahir Lain?
Hitung HPL dari HPHT
Lupa HPHT? Masukkan Tanggal HPL
Pusat Informasi & Tanya Jawab HPL
USG pada trimester pertama (usia 8-12 minggu) dianggap paling akurat untuk menentukan usia janin dan mengoreksi HPL jika perlu.
Hanya sekitar 5% bayi yang lahir tepat di tanggal HPL. Sebagian besar lahir antara 37-42 minggu kehamilan.
Jika kondisi kehamilan normal, masih diperbolehkan dan bahkan sering disarankan untuk membantu memicu kontraksi alami melalui hormon oksitosin.
HPHT adalah hari pertama haid terakhir, sedangkan HPL adalah perkiraan lahir bayi. HPL biasanya dihitung 280 hari setelah HPHT.
Persiapan Masa Depan Sejak Trimester Pertama Kehamilan
Memiliki bayi adalah investasi masa depan yang sangat berharga. Perencanaan yang baik dimulai sejak Anda mengetahui hasil testpack positif and menetapkan HPHT Anda. Trimester pertama adalah waktu yang tepat untuk mulai menabung and merencanakan lingkungan rumah yang aman serta sehat bagi kedatangan anggota baru.
Terus perbarui pengetahuan Anda mengenai perawatan bayi baru lahir and manajemen stres pasca persalinan. Keberhasilan pengasuhan dimulai dari persiapan yang matang selama masa kehamilan. Kami bangga bisa menjadi bagian dari perjalanan luar biasa Anda menuju fase menjadi orang tua yang hebat and bertanggung jawab bagi anak.
